DynaCAD Prostate

SKU: PMS-784027-1

DynaCAD Prostate is an advanced visualization system that empowers you with a comprehensive set of tools for real-time analysis, review, and reporting of multi-parametric MRI studies. Create time and workflow efficiency by transferring images directly from the MRI to DynaCAD. Utilize its robust, automatic post-processing tools and display results in customized hanging protocols for analysis and reporting. At case completion, you can automatically transfer key images, statistical data, and prostate PI-RADS® reports to PACS for archiving. By setting everything up for you to work, DynaCAD helps you enhance your confidence and productivity – so patients get the prompt, precise care they need.

Add To Quote
SKU: PMS-784027-1 Category:

Description

Enriched, multi-parametric exam reviews

With a powerful, easy-to-navigate, multi-vendor MR image analysis system, DynaCAD can quickly process and manage large volumes of data. You can open cases in ready-to-read, custom hanging protocols with all images synchronized for easy, multi-parametric review.

Interactive worksheets summarize study findings

PI-RADS® v2.1 interactive worksheets collate and classify data related to exam findings. Users can mark the finding locations within regional diagrams and utilize the PI-RADS® v2.1 lexicon to record their characteristics and grade severity – with automatic projection of the ROIs into the PI-RADS® sector map(s).

Adjustable 3D segmentations for optimally guided biopsies

You can reduce manual outlining of the prostate gland: DynaCAD Prostate’s model-based gland segmentation automatically performs a 3D segmentation of the gland. You can alter or adjust the segmented results in all three planes. The resulting segmentation reports overall gland volume and sets the stage for UroNav MR/US guided fusion biopsy procedures.

Exceptionally data-rich patient reports

You can set up patient reports to automatically capture pre-selected image sequences, kinetic curves, measurements, and annotations. Lesions are assessed according to PI-RADS® v.2.1 scoring and are automatically registered to the PI-RADS sector map as 2D projections. This data is incorporated into standardized reports. Upon completion, you can print patient reports, save as a PDF, or send as DICOM images.

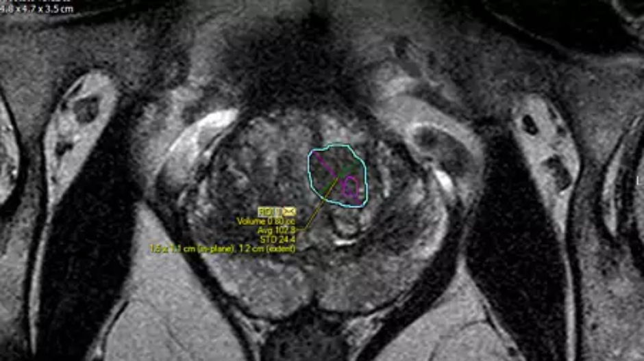
Enhanced targeting of ROIs

User generated ROIs can be displayed on a 3D model of the prostate as well as multiple image sequences from the study.

Overlays of previous biopsy targets provide valuable feedback

DynaCAD’s reverse fusion feature maps and displays earlier fusion guided biopsy locations. Users can view previous targets and cores produced by UroNav, allowing them to track accuracy.